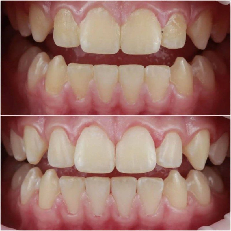
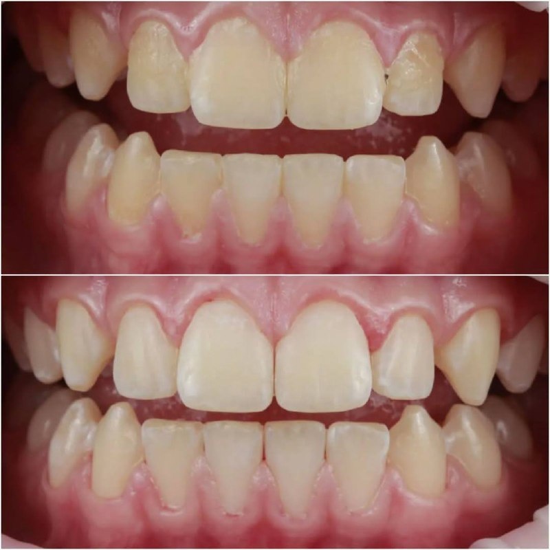
Мягкий зубной налет — это не просто косметическая проблема, это реальная угроза для здоровья вашей улыбки. Хотя зубной камень бросается в глаза, мягкий налет может оставаться незамеченным, но его влияние на здоровье зубов не менее разрушительно.
Опасные последствия налета
В структуре мягкого налета прячется множество вредоносных микроорганизмов, которые могут серьезно повредить зубную эмаль. Эти микробы выделяют кислоты, способные вызывать деминерализацию эмали и формирование кариеса. Чревато это последствиями для здоровья всей полости рта, а иногда и для всего организма.
Советы по уходу за полостью рта
- Ежедневная гигиена — основа здоровья
- Обязательно чистите зубы два раза в день, начиная с утренней гигиены после завтрака до ночного очищения перед сном.
- Используйте зубную нить для удаления налета между зубами — именно в этих местах налет скапливается наиболее активно.
- Полоскания рта антисептическими средствами помогут убить бактерии и предотвратить образование налета.
Профессиональная гигиена: необходимость или роскошь?
Наблюдение у стоматолога-гигиениста не менее важно. Регулярные визиты к этому специалисту обеспечивают качественную чистку, которую сложно повторить в домашних условиях. Врач может дать индивидуальные рекомендации по уходу за полостью рта, учитывая особенности зубного ряда и личные привычки.
Погружаясь в мир стоматологии, стоит помнить, что здоровье зубов — это не только белоснежная улыбка, но и крепкость наших зубов. Занимайтесь профилактикой, чтобы предотвратить кошмары кариеса и других заболеваний полости рта. Своевременные меры по уходу за зубами помогут избежать серьезных проблем в будущем.































