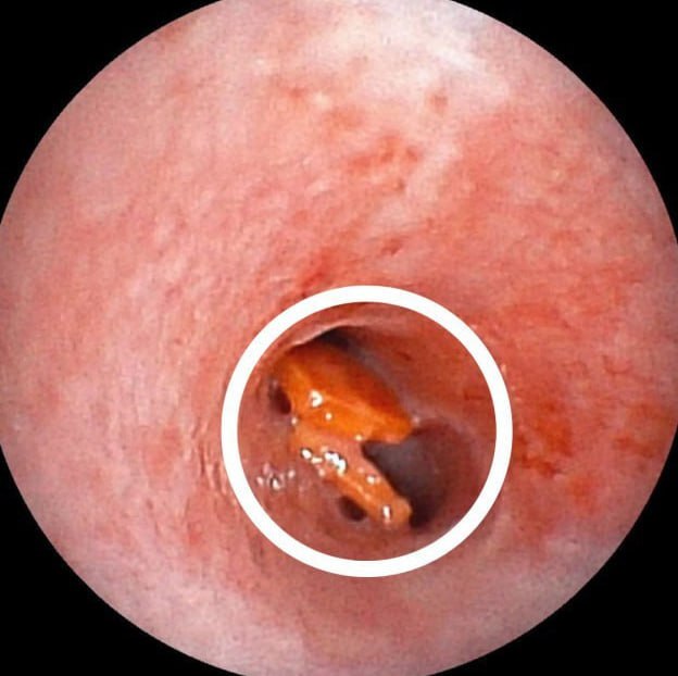
Кусок пластмассы извлек из бронха годовалого ребенка эндоскопист Новоуренгойской ЦГБ. Девочку экстренно доставили в приемное отделение с хрипами. Инородное тело врачи обнаружили в области бифуркации бронхов — это анатомическая зона разделения трахеи на два главных бронха.
На диагностику и извлечение куска пластмассы потребовалось несколько минут. Ребенок находится под наблюдением врачей, угрозы для жизни нет.
Фото: телеграм-канал Новоуренгойской центральной городской больницы



















































